Papillary Carcinoma
Oct. 9, 2025
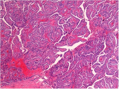
Pathology Outlines - Papillary thyroid carcinoma overview Thyroid Cancer Treatment (Adult) (PDQ®)–Patient Version - NCI Pathology Outlines - Papillary thyroid carcinoma overview Papillary Carcinoma
Oct. 9, 2025
Pathology Outlines - Papillary thyroid carcinoma overview Thyroid Cancer Treatment (Adult) (PDQ®)–Patient Version - NCI Pathology Outlines - Papillary thyroid carcinoma overview Papillary Carcinoma